
Sarcina ventriculi is a gram-positive anaerobic bacterium with a characteristic tetrad morphology.[1,2] It is technically part of the Clostridium genus and is therefore occasionally referred to as... Read More

Sarcina ventriculi is a gram-positive anaerobic bacterium with a characteristic tetrad morphology.[1,2] It is technically part of the Clostridium genus and is therefore occasionally referred to as... Read More

Key points Nirsevimab (Beyfortus) is a long-acting monoclonal antibody that provides passive protection against respiratory syncytial virus (RSV) with a single intra-muscular dose per season... Read More

Background The Cannabis Act, introduced for the purpose of deterring illicit activities and reducing the burden on the criminal justice system and the associated marginalization of specific groups... Read More

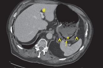
Clinical summary While vacationing in Mexico, a woman in her 70s presented to primary care with a 6-month history of B symptoms, worsening dyspnea, and new-onset back pain. Her medical history... Read More

When I met Robert,* most of the people around him had already said their goodbyes. He had been admitted to hospice after being told he had weeks to live, but by the time we spoke, 4 months after his... Read More