Clinical Articles, Clinical Images /
March 2025
An 11-month-old female presented with a firm, nontender, bright-red, moist umbilical lesion without obvious urine or bile discharge [Figure 1]. The child was otherwise well. The differential diagnosis included granuloma... Read More
Clinical Articles, Clinical Images /
July/August 2024
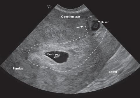
History
A pregnant woman in her mid-30s presented to the emergency room with acute onset of back and pelvic pain and moderate spotting. The patient was gravida 4, para 2 (G4P2) and had had two prior cesarean sections... Read More