
Background The Cannabis Act, introduced for the purpose of deterring illicit activities and reducing the burden on the criminal justice system and the associated marginalization of specific groups... Read More

Background The Cannabis Act, introduced for the purpose of deterring illicit activities and reducing the burden on the criminal justice system and the associated marginalization of specific groups... Read More

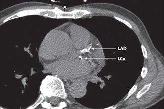
Atherosclerosis, a type of chronic inflammation that is marked by the buildup of lipid-rich plaque within the walls of the arteries, is the leading cause of cardiovascular disease, including coronary... Read More

Hyperkalemia is a common electrolyte abnormality among patients with cardio-kidney-metabolic syndrome and has potentially life-threatening consequences.[1-3] Hyperkalemia is more commonly seen in... Read More

British Columbia has been a pioneer in population-based cervical cancer screening due to the initiation of the first cervix screening program in the world in 1955.[1] Since the implementation of... Read More

In recent years, demand for fertility care has increased as women choose to delay childbearing. Between 2000 and 2022, the mean age of the mother at the time of delivery in British Columbia increased... Read More