Colorectal cancer (CRC) is the third most common malignancy in Canada and the number one cause of cancer death among nonsmokers in North America.[1] The incidence increases significantly after age 50.
For most people in British Columbia, the family physician provides an entry point into the health care system and a link to secondary care.[1] As the medical professional who initiates investigations, counsels the patient, and directs the course of care, the family physician is in a unique and strategic position to deliver effective health care messages and influence the patient’s care experience.
The author recounts an extraordinary experience that occurred while treating a kindly older gentleman who believed he was God.
It was sometime in the mid-1970s and I was in psychiatric practice in a hospital in the lower mainland of British Columbia.
Making my rounds one morning in the psychiatric ward, I was informed by the head nurse that a patient was admitted to the unit the night before under a mental health certificate, and I was asked specifically by the admitting emergency room physician to see him.
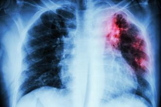
World Tuberculosis Day, recognized on 24 March of each year, raises public awareness about tuberculosis (TB). The global TB epidemic causes several million deaths per year, mostly in the developing world where HIV rates are also at epidemic levels.
Although Canada is considered a low incidence TB country, certain populations remain at increased risk, notably Canadian-born Aboriginals. Recent national data show that the greatest proportion of Canadian-born Aboriginal TB cases were in the Prairie Provinces and the Territories.
Childhood immunizations are widely acknowledged to be one of the most cost-effective health care measures available.[1] Even in countries with no organized health care system to speak of, vaccination campaigns are seen as a top priority.