Skip to main content

 -
  • About
    • Advertising Policy
    • Aim and Scope
    • Author Fees and Disclosure of Funding
    • Contact Us
    • Editorial Board
    • Editorial Independence
    • Editorial Policies
      • Artificial Intelligence (AI)-Assisted Technology
      • Authorship and Contributorship
      • Complaints and Appeals
      • Corrections and Retractions
      • Data Sharing and Reproducibility
      • Ethical Practices and Expectations
      • Intellectual Property and Copyright
      • Peer Review
    • Editorial Process
    • History
    • Media
    • Mission
    • Open Access
    • Permissions
    • Post-publication Discussions
    • Writing Prizes for Medical Students
  • The Journal
    • By Author
    • Past Issues
    • BC Doctors
      • Obituaries
      • Interviews
      • Proust for Physicians
      • Physician Spotlight
    • Opinions
      • Back Page
      • BC Stories
      • Blog
      • Editorials
      • Letters to the Editor
      • Premise
      • President's Comment
    • Columns
      • BC Centre for Disease Control
      • Billing Tips
      • Council on Health Promotion
      • College Library
      • Family Practice Services Committee
      • Joint Collaborative Committees
      • News
      • Shared Care Committee
      • Specialist Services Committee
      • WorkSafeBC
    • Articles
      • Clinical Articles
        • Clinical Case Reports
        • Clinical Images
        • Original Research
        • Review Articles
      • MDs To Be
      • Beyond Medicine
      • COVID-19
      • Early Online
  • Classifieds
  • Submit Content
    • Instructions for Authors: Clinical Article
    • Instructions for Authors: Nonclinical Content
    • Theme Issue
    • Letter to the Editor
  • Advertise
    • Place Display Ad
    • Place Classified Ad
    • Shopping cart
  • none
 -

Author profile

Sukhdeep Jatana, MDCM

hide first letter

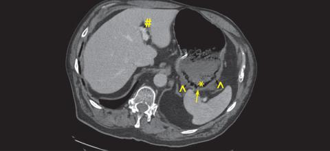
Initial CT scan on postadmission day 1 showing the presence of intramural gas, portal venous gas, hypoenhancing posterior stomach body, and gas in vasculature of stomach.
Clinical Case Reports / December 2025

Successful nonoperative management of gastric ischemia and portal venous gas secondary to Sarcina ventriculi infection

Sarcina ventriculi is a gram-positive anaerobic bacterium with a characteristic tetrad morphology.[1,2] It is technically part of the Clostridium genus and is therefore occasionally referred to as Clostridium ventriculi... Read More

BCMJ

The BCMJ is a general medical journal that shares knowledge while building connections among BC physicians.

DOBC

 

ISSN 0007‍-‍0556 (Print)
ISSN 2293‍-‍6106 (Online)
Established 1959